Contact Us:-
---- Teeth Alignment Expert ----
Vasantham Child Clinic Upstairs,Odai Street,N.R.T Nagar,Theni - 625531.
தேனியில் முதன்முறையாக கிளிப் மற்றும் Braces-க்கான பிரத்யேக பல் மருத்துவமனை கண்ணுக்குத் தெரியாத Aligner எனப்படும் நவீன கிளிப் சிகிச்சை மூலம் பல் வரிசை சீரமைபு மிக சிறப்பாக இங்கு செய்யப்படுகிறது.

Welcome To Smart Clips Dental Clinic

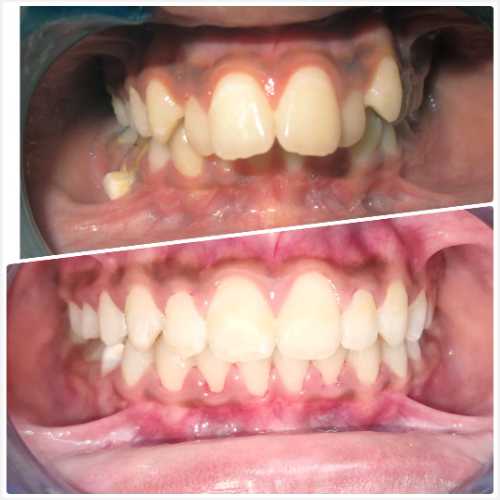
At Smart clips Dental clinic, we specialize in Orthodontics, providing customised solutions that are tailored to suit the individual needs of our patients. We provide dental braces for all ages,both children and adults.
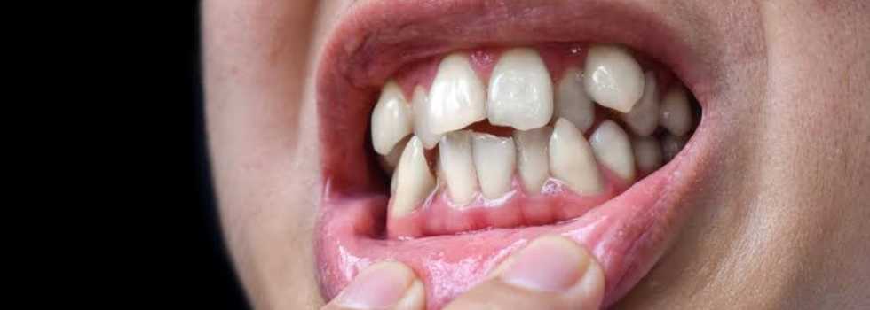
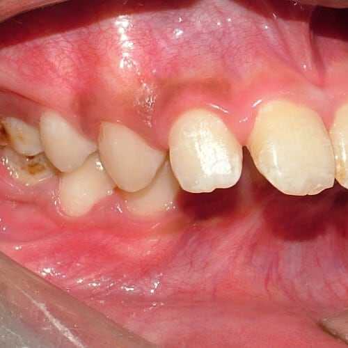
What is Orthodontics? Orthodontics is a dental specialty focused on aligning and straightening your teeth. you might need to see an Orthodontist if you have any of the below mentioned problem.

Impacted Wisdom Teeth Theni
Impacted Wisdom Teeth Theni
Impacted Wisdom Teeth Theni

Why Orthodontics?

  • Orthodontics can help you achieve and maintain a beautiful, healthy smile
  • When your teeth are in proper alignment they are much easier to clean
  • An aligned bite can reduce your risk for cavities,gum disease and other oral health issues.
  • Straightening your teeth can improve chewing & speech function.

Why Us?

  • Advanced Technology
  • Cost Effectiveness
  • Efficient Doctors
  • Specialty Dentist

Esthetic Dentistry

Aesthetic options

At smart clips dental clinic, heare are some of the aesthetic options available for our patients
  • Adult Orthodontics
  • Ceramic Braces
  • Invisible Aligners
  • Lingual Braces
  • Orthodontics For Children
  • Self Ligating Ceramic Braces

Treatments

நவீன மற்றும் சிறந்த பல்பராமரிப்பு சிகிச்சைகள்
  • உடைந்த பற்களை சரி செய்தல்
  • குழந்தைகள் பல் மருத்துவம்
  • நிரந்தர பற்கள் பொருத்துதல்
  • பல் அடைத்தல்
  • பல் கட்டுதல்
  • பல் சீரமைப்பு சிகிச்சை
  • பல் வேர் சிகிச்சை
  • பல்லை வெள்ளைப்படுத்தும் சிகிச்சை

Our Special

  • We provide the most comfortable dental experience.
  • Book your dental appointment in simple ways.

We Deal

  • Jaw Alignment
  • Crowding
  • Spacing Teeth
  • Proclined Teeth

Cell

  • +91 - 8148924892

Enquiry Form

  • Name*
  • Mobile*
  • Email*
  • City*
  • State*
  • Country*
  • Requirements*

Tags

  • Dental Crowding
  • Overbite Invisalign
  • Orthodontic Correction
  • Retroclined Teeth
  • Impacted Teeth
  • Root Canal Treatment
  • Missing Tooth Treatment
  • Kids Dental Care

Find Our Location

8148924892